TESCAN MAGNA
在低电压下具有极佳的分辨率和优异的性能,尤为适用于纳米表征

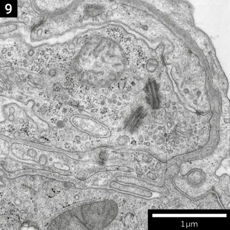
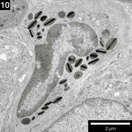
TESCAN MAGNA 是一款功能极其强大的分析仪器,可用于表征纳米材料的表面以及进行微观分析。 TESCAN MAGNA采用 Triglav™ 型 SEM 镜筒,具有超高的分辨率,在低电压下尤为明显;镜筒内探测器系统具有电子信号过滤能力,可以获得更好的图像衬度和表面灵敏度。此外, TESCAN MAGNA 配备肖特基场发射电子枪,能够提供高达 400 nA 的束流,同时 Triglav™型 SEM 镜筒所具备的出色性能和高稳定性,为微分析和长耗时样品的分析应用提供了最佳条件。
TESCAN MAGNA 低电压下的优异性能和所能获得的各种图像衬度,使得它非常适用于不导电样品的成像,如陶瓷、无涂层生物样品,以及在半导体工业和新材料研究中应用越来越普遍的光敏样品。 TESCAN MAGNA 使用了全新的 TESCAN Essence™ 软件,用户界面友好,可以满足各类应用需求,可定制的布局以及自动化的样品制备功能,最大限度地提升了操作便捷性和工作效率。
主要特点
- 表征纳米材料的最佳解决方案
TESCAN 专利的 Triglav™型 SEM 镜筒具有三物镜系统 TriLens™ ,与同类设备相比功能更多样化。UH-resolution 物镜提供的超高分辨率非常适合于形貌细节观察,使研究人员能够更好的分析纳米级样品。全新的高分辨 Analytical 物镜可实现无漏磁成像,是磁性样品观察和分析(EDS, EBSD)的理想选择。第三个物镜可以实现多种模式观测,并对束斑形状进行优化,进而改善成像和分析性能。
- 可以获得不同衬度图像,最大程度洞察样品
TESCAN MAGNA 配备 TriBE™ 探测器系统:包含三个背散射电子探测器,可以根据角度和能量的差异选择性地收集信号,Mid-Angle BSE 和 In-Beam f-BSE 探测器位于镜筒内,可以接收中角度和轴向的背散射电子,而样品室内背散射电子探测器则用于接收广角背散射电子。同时,MAGNA 还配备 TriSE™ 探测器系统:共有三个二次电子探测器,可在所有工作模式下以最佳方式获取二次电子:In-Beam SE 探测器可以在非常短的工作距离下接收二次电子;SE(BDM)为电子束减速模式下的二次电子探测器可以提供最佳的分辨率;样品室内的二次电子探测器则能提供最佳形貌衬度的图像。
- 更加优秀的成像能力
新一代 Triglav™ 镜筒中的镜筒内探测器系统经过进一步优化,信号检测效率提高了三倍以上。此外,该系统还扩展了检测能力,能够采集能量过滤后的轴向背散射电子信号,这样就可以通过选择性地收集低损耗背散射电子来获得更好的衬度和表面灵敏度。
TESCAN MAGNA SEM



